June Issue - Annals of B-Pod

June Issue - Annals of B-Pod

It’s that time in every Emergency Department: the academic year has come to a close. In our shop, interns are spending their last few shifts in B Pod, and the R2s are testing their taming skills in the SRU. The R3s are stepping up to the educator role, and the R4s are looking onward to their future careers. We spend these last few weeks balancing the excitement of our transitions and the purpose of our job: somewhere between the hustle and noise of B Pod, there is a critical illness waiting to be found, #beneaththesurface.

Read More

March Issue - Annals of B Pod

March Issue - Annals of B Pod

Spring is here and new beginnings are right around the corner. Step-ups are looming and we will find out the names of our new interns any day. It is time for interns to polish their efficiency, for the R2s to finish their off-service rotations in anticipation of the great variety of the SRU, the R3s to finishing refining their ability to run an effective team. The R4s #fillintheedges of their careers as residents so they can go forth as prepared attendings. In anticipation of these new beginnings, this issue of Annals of B Pod focuses on cases that #fillintheedges.

Read More

Closing the Gap: Deep Sutures

Closing the Gap: Deep Sutures

While many wounds are adequately repaired with simple interrupted sutures, not infrequently we are confronted with wounds that require more specialized suturing methods. One such method is deep sutures. Here to answer some questions regarding deep sutures is our wound management guru, and author of the book “Wounds and Lacerations: Emergency Care and Closures,” Dr. Alexander Trott. 

Read More

Annals of B-Pod: Acute Vision Loss

Annals of B-Pod: Acute Vision Loss

Thinking about the other left lower quadrant

 

The patient is a 74 year-old African-American female with a history of hypertension, coronary artery disease status post drug-eluting stent ×1, former cigarette smoker, and iron deficiency anemia presenting with left-sided vision loss. Patient states that approximately two days ago  she woke up with painless peripheral vision loss of her left eye only. She describes it as darkness in the lateral portion of her left eye. She  reports that her vision returned to baseline throughout that day; only to return when she awoke the next morning. Since that time she endorses persistent vision loss in the left periphery. She denies blurry vision, eye pain, headaches, recent trauma, flashes, and floaters. Furthermore, she also denies dizziness, numbness weakness, dysarthria, dysphagia, fever, chills nausea, vomiting, chest pain, shortness of breath, and palpitations. She reports adherence to her antihypertensive and anti-platelet medications...

Read More

Annals of B-Pod: Approach to the Febrile Infant

Annals of B-Pod: Approach to the Febrile Infant

Imagine it’s your first moonlighting shift at a small rural community hospital. The nearest referral center for both adults and children is 90-minutes away by ground. The annual census of the emergency department is 15,000 patients per year, of which only 5% is pediatric. There are 2 hours left in your 12-hour shift and your energy is all but spent. You are looking forward to winding down at home after an extremely busy and high-acuity shift when your 35th patient of the day checks in. The patient’s chief complaint is fever. You give yourself an internal fist pump thinking that you’re about to see your 12th viral URI of the day and that you’ll be in-and-out of that room no in time. In the midst of your premature celebration you scan the nursing note and see the age of the patient: 6 weeks…You’re hopes of a quick and easy disposition suddenly melt away leaving you with many more questions regarding this patient’s care than answers…You muster your remaining energy and make your way toward the patient’s room.

Read More

Annals of B-Pod: Mastering Minor Care

Annals of B-Pod: Mastering Minor Care

Under Pressure: A Tonopen Tutorial

Prepare

1. Find your Tonopen. At our shop the Tonopen lives in the cabinet in the attending office.

2. Adequate corneal analgesia is key. Instill tetracaine in both eyes prior to using the Tonopen.  

3. If you are assessing the patient for corneal abrasions, perform the fluorescein exam prior to using the Tonopen as the Tonopen may inadvertently cause small abrasions.  

4. Place a cover over the tip. It slides on like a condom and then roll the ridge into the grove.

Read More

Annals of B-Pod: Quick Hit Case

Annals of B-Pod: Quick Hit Case

Open Globe and a Discussion about Traumatic Hyphema

The patient is a male in his 40s who presents after sustaining an injury to his right eye with a fishing hook. He states that a three-barbed hook pierced his eye while fishing with his friend. On gross inspection, the hook was noted to have pierced the inferior eyelid causing an obvious right open globe and there was a large hyphema. While he was initially able to count fingers at four feet in his superior visual field, his visual acuity quickly deteriorated to light perception only. Extraocular movements were intact and caused movement of the hook. Ophthalmology was consulted and a CT was obtained. The patient was then taken to the OR for anterior chamber washout, open globe repair, and removal of the fish hook. He was discharged following the surgery with next day follow-up with ophthalmology.

Read More

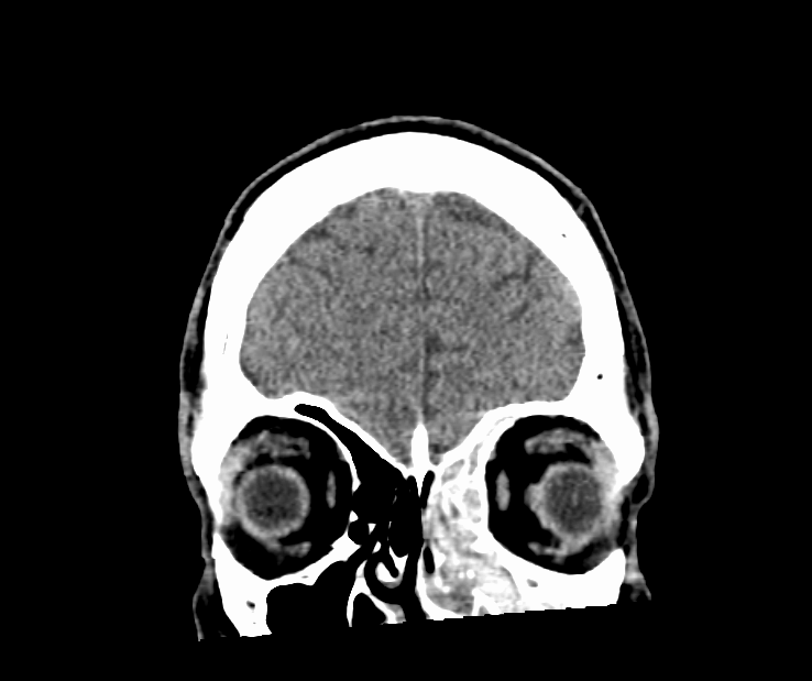
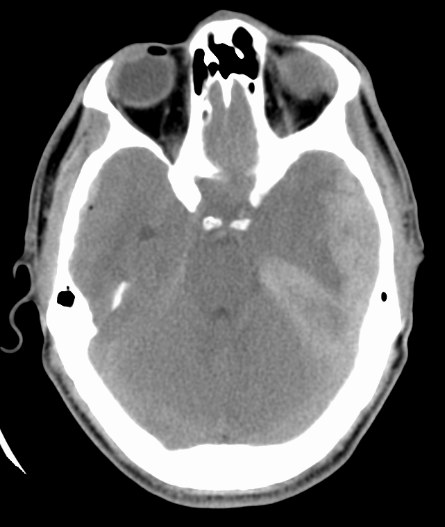
Annals of B-Pod: An Ocular Emergency

Annals of B-Pod: An Ocular Emergency

A Case of Retrobulbar Hematoma

The patient is a female in her 60s who presents by EMS after a fall in a parking lot approximately one hour prior to arrival.  She fell forward and landed on her face.  She believes she simply tripped and fell, but she did lose consciousness and does not know how she ended up on the ground.  Per family, she is unsteady on her feet and falls frequently, requiring a cane at baseline.  She reports feeling “weak” but no other symptoms preceding her fall.  She presents with significant right-sided facial trauma and is unable to open her right eye. She has no complaints of blurry vision in her left eye.  She has no headache or other areas of pain or trauma.

Read More