Annals of B Pod: Uterine Incarceration
/Join Dr. Ann Wolski as she takes us through a fascinating case of uterine incarceration causing acute urinary retention.
Read Moreemergency medicine tamed
Taming the SRU. The SRU is the "Shock Resuscitation Unit." It is a crucible of clinical training for the residents of the University of Cincinnati Emergency Medicine Residency training program.
Join Dr. Ann Wolski as she takes us through a fascinating case of uterine incarceration causing acute urinary retention.
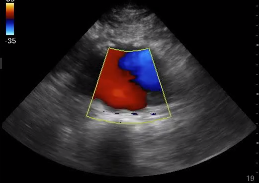
Read MoreJoin us for a comprehensive review of the state of the art (and literature) of POCUS in cardiac arrest
Read MoreOne of the can’t miss chest pain diagnosis still on your differential? Grab a probe and join Dr. Broadstock as he walks through a humbling case of a middle aged patient with an acute aortic dissection.
Read MoreMusculoskeletal ultrasound is a burgeoning field of study, which can be used to augment physical exam in the emergency department. This month’s ultrasound case delves into the meat and potatoes of Achilles tendon scanning, plus a quick hit on the bad boy of antibiotics - fluoroquinolones
Read MoreGall bladder wall thickening prompts thoughts of cholecystitis in the mind of most emergency physicians. But it’s not always that simple. Join Dr. Roblee as she takes us through a case of cholecystitis that… isn’t.
Read MorePart of the power of bedside ultrasound is the ability to make a diagnosis within seconds of image acquisition. Join Dr. Golden as he takes us through a fascinating case of early pregnancy guided by POCUS in the emergency department and the unexpected finding that, while rare, can dramatically alter the patient’s ED course.
Read MoreChest pain in the young? Often uninteresting. But often is not always. This ultrasound case of the month takes an unexpected turn based on an impressive bedside echo.
Read MoreFrom surgical airways to the undifferentiated shock patient, this week’s Grand Rounds was packed full of clinical pearls. Dr. Carleton started with a discussion of a tachycardia-inducing failed airway requiring cricothyrotomy. Drs. Jensen and Makinen presented a very detailed review of the literature and their proposed algorithm on infective endocarditis. Dr. Harty reviews a fascinating case of cecal volvulus that was identified early with the aid of a RUSH exam, while Dr. Liebman walked us through an approach to the patient with inhalation injuries. Finally, Dr. Roblee led an excellent review of SBP. The discussion was full of information you might use on your next shift!
Read MoreJoin Dr. Mand as she takes us through a case of abdominal pain, highlighting the ability of point of care ultrasound to expedite care in critically ill patients, in February’s ultrasound case of the month
Read MoreUltrasound case of the month is back with a new application. Join Dr. Harty as uses the wisdom of sonography to guide us through one headache of a case!
Read MoreThe week started off with a discussion on research and ways to get involved during residency. We then got a primer on early pregnancy ultrasound and ectopic pregnancy from Dr. Stolz. Our yearly directives series covered personal finance/loans as well as the job search and contract negotiation. Dr. Stettler then gave us some pearls on how to manage the agitated patient. This was followed by Dr. Plash who discussed the removal of GI foreign bodies. We then ended with a visiting lecturer, Michigan Program Director Dr. Laura Hopson, who covered bedside teaching tips and tricks.
Read MoreThis month's AirCare Series post is the first podcast in the series! In this podcast one of our current interns, Adam Gottula, interviews a graduate of our program, Andrew Latimer. Dr. Latimer is currently a Senior EMS Fellow at the University of Washington. In this interview, Dr. Latimer discusses how they use pre-hospital ultrasound at his flight program as well as his thoughts on the future applications of this technology.
Read MoreNot every swollen knee is an emergency, but treatments can vary between NSAIDs and an operative wash-out. Drs LaFollette and Stolz walk through the use of bedside ultrasound to focus our ED care.
Read MoreMore Ultrasounds! This month, a case of abdominal pain in a patient with Crohn's Disease. Jump right to CT? Not when you have an ultrasound probe handy! Read on to learn more about the ultrasound evaluation of the patient with abdominal pain, and what you might just find...
Read MoreYou are working an busy overnight shift at your rural community ER when a nurse comes to notify you of a new patient in the lobby - there are no open beds currently, but she thinks he looks ill.
You go out to evaluate the patient quickly - He is complaining of severe generalized abdominal pain that started a few hours ago and is worsening. He looks pale and slightly diaphoretic, has severe abdominal tenderness with peritonitis. Concerned, you wheel him back to your trauma bay...
Read MoreSRU (pronounced "shrew") = Shock Resuscitation Unit
Training in, and managing, the SRU is one of the crown jewels of our residency. It is where the sickest of the sick patients are found in our ED. It is a crucible, a test of knowledge and strength, and a true manifestation of the tripartite mission of our department: Leadership, Excellence, and Opportunity.
Training in, and managing, the SRU is one of the crown jewels of our residency. It is where the sickest of the sick patients are found in our ED. It is a crucible, a test of knowledge and strength, and a true manifestation of the tripartite mission of our department: Leadership, Excellence, and Opportunity.
