Grand Rounds Recap 05.26.2021

Grand Rounds Recap 05.26.2021

Dr. Koehler reviews cases and shared clinical pearls with this month’s Morbidity and Mortality Conference, Dr. Kowalenko visits virtually to discuss ABEM Board Certification and give us a medical history lesson on Presidential Assassinations

Read More

Grand Rounds Recap 5.22.19

Grand Rounds Recap 5.22.19

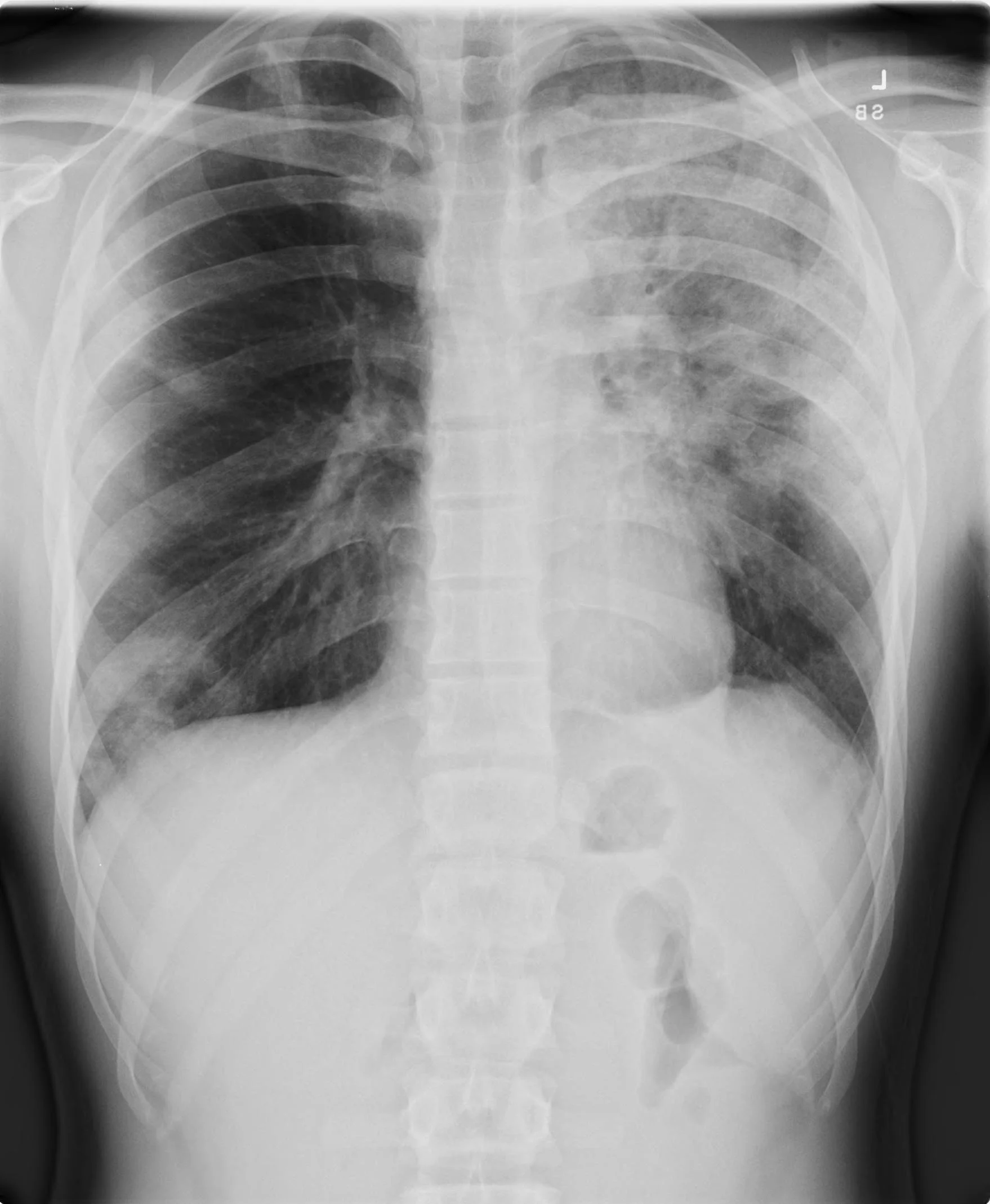
This week we welcomed Dr. Thurman, a UC alumnus, back to Cincinnati for a fantastic quick hit visual diagnosis lecture. This was followed by a review of the literature on pneumonia by Drs. Modi and Mand. Dr. Wolochatiuk reviewed chemical and electrical burns, and Dr. Lane and Lang reviewed the diagnosis and management of proctitis in their CPC. Dr. Humphries presented some fantastic cases of zebra diagnoses in the ED. Lastly, Dr. Soria concluded with her inquisitive thoughts from over the years.

Read More

Grand Rounds Recap 9.26.18

Grand Rounds Recap 9.26.18

This weeks grand rounds started off with our Morbidity and Mortality conference led by Dr. Shaw who led us on an education expedition covering the use of REBOA, surgical vs. medical management in spontaneous miscarriage, ways we can improve our use of the electronic medical record, management of a persistent air leak in a patient with a chest tube, and the role of CT in CAP. Dr. Alwan then provided us an in-depth look at the often untold challenges of life as a refugee as well as the challenges we face in providing care for these patients. This was followed by Dr. Randolph who presented a case of an incredibly complicated patient with a pulmonary embolism to highlight the steps in management of a decompensating patient with a pulmonary embolism before you initiate thrombolysis. Next up was Dr. Gottula and Dr. Hinckley who went head to head with a challenging presentation of acute aortic dissection as part of our CPC lecture series. Dr. Leech then finished up the day with a case based discussion on the utility of the Kocher Criteria in the evaluation of child with an acutely painful hip.

Read More