CARDIAC ULTRASOUND
INDICATIONS:
Medical Necessity: To assess for the presence or absence of pericardial effusion. To assess for the presence or absence of cardiac activity.
Structures studied: Heart, pericardium.
Focused Question: Is a pericardial effusion present? Is there cardiac activity?
REQUIRED IMAGES
Parasternal Long Axis (PSTL), Parasternal Short Axis (PSAX), Apical 4 Chamber (AP 4/5), Subxiphoid, and IVC Images
HOW TO SCAN CARDIAC
1.) Obtain at a minimum, video clips of the sub-costal and parasternal long axis views of the heart.
Additional views may include parasternal short axis and apical 4 chamber.
2.) Obtain one static representative image.
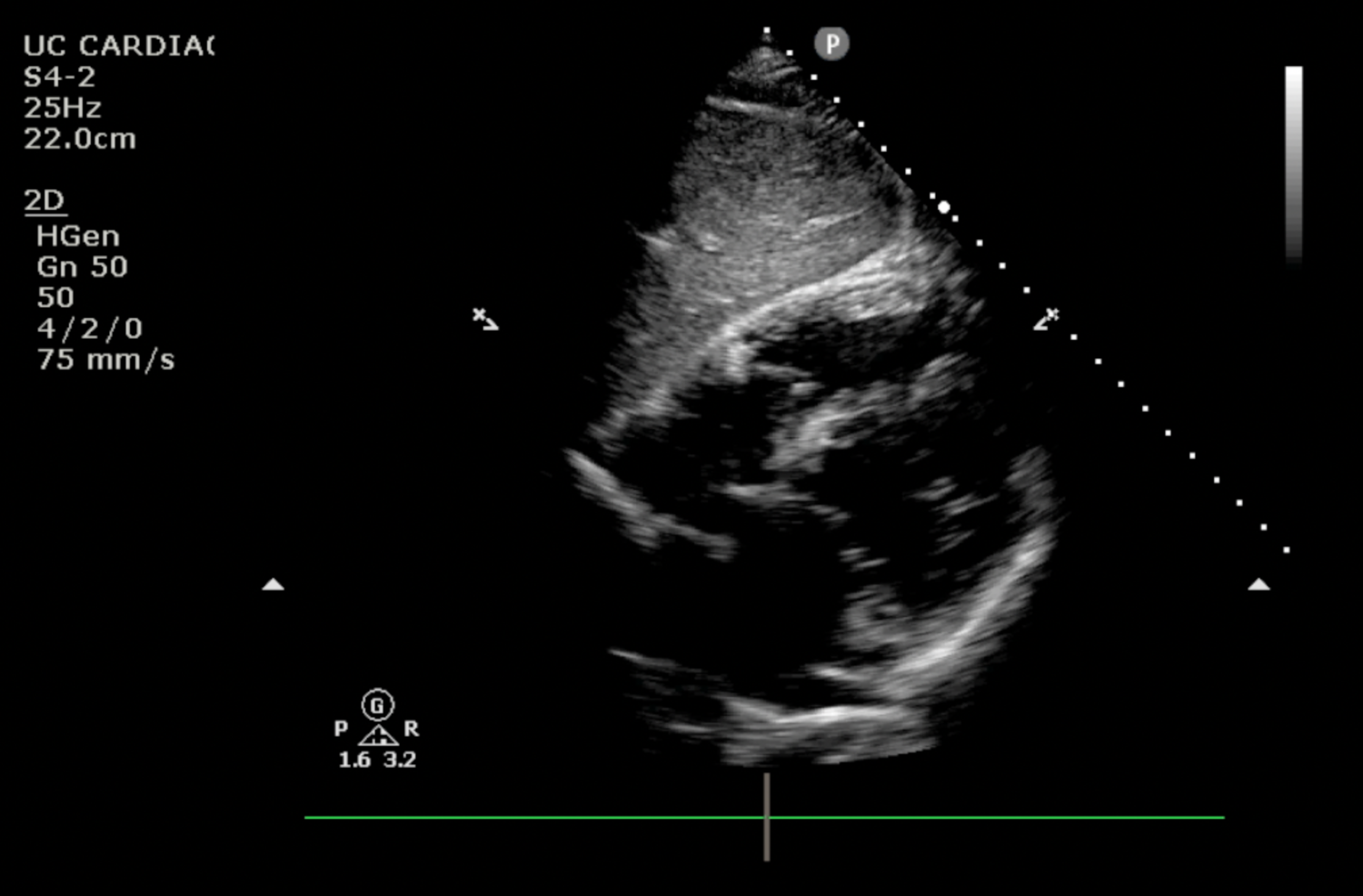
SUB-COSTAL VIEW STATIC IMAGE WITHOUT PERICARDIAL EFFUSION
Pericardial Effusion
Medical necessity: To assess for the presence or absence of pericardial effusion. To assess for the presence or absence of cardiac activity.
Structures studied: Heart, pericardium.
Focused question(s): Is a pericardial effusion present? Is there cardiac activity?
Guidelines:
1.) Obtain at a minimum, video clips of the sub-costal and parasternal long axis views of the heart.
Additional views may include parasternal short axis and apical 4 chamber.
2.) Obtain one static representative image.
Sub-Costal view static image without pericardial effusion
LINKS TO CASES
Coming soon
OTHER RESOURCES
Coming soon
