Grand Rounds Recap 10.30.24
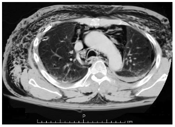
/Join us for another great week of Grand Rounds! We started out with a great discussion of the changing workforce and how the differences between generations and leadership styles impacts our interactions with our colleagues. Then we discussed the nuances of managing a dysfunctional tracheostomy with Dr. Adan. We were taken through the pathophysiology and clinical presentation of patients with pneumomediastinum and mediastinitis with Dr. Valles. Finally, Drs. Artiga, Beyde and Vaishnav gave us hands on practice with the different types of nerve blocks that can be used in the ED!
Read More

