Grand Rounds Recap 4.26.23
/Join us for a review of US in pregnancy by Dr. Frederick, Highs and Lows of residency with Dr. Comiskey, as well as reviews of in flight emergencies and high altitude emergencies
Read Moreemergency medicine tamed
Taming the SRU. The SRU is the "Shock Resuscitation Unit." It is a crucible of clinical training for the residents of the University of Cincinnati Emergency Medicine Residency training program.
Join us for a review of US in pregnancy by Dr. Frederick, Highs and Lows of residency with Dr. Comiskey, as well as reviews of in flight emergencies and high altitude emergencies
Read MoreFor Grand Rounds this week We took a deep dive into 2 cases of Pericardial Effusions with our R2 CPC with Dr. Grisoli and our R3 Taming the SRU lecture with Dr. Ferreri. One case ended up being a purulent pericardial effusion while the other was an LV freewall rupture. Dr. Sabedra Expanded our knowledge on how to better care for pregnant and breast feeding patients and how to be a support co-worker to our pregnant and breast feeding colleges. Lastly, Dr. Frankenfeld walked us through some of the data around when patients leave against medical advice, how to try to avoid this, and how to appropriately counsel our patients.
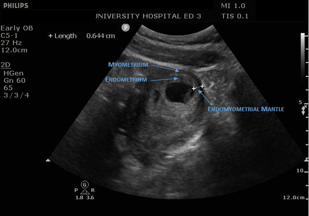
Read MoreCharacterizing location of an intrauterine pregnancy is a key portion of the sonographic exam in early gestation. In this month’s case Dr. Leech describes a case concerning for lower uterine gestation, as well as the diagnostic and therapeutic considerations for this pathology.
Read MoreThe week started off with a discussion on research and ways to get involved during residency. We then got a primer on early pregnancy ultrasound and ectopic pregnancy from Dr. Stolz. Our yearly directives series covered personal finance/loans as well as the job search and contract negotiation. Dr. Stettler then gave us some pearls on how to manage the agitated patient. This was followed by Dr. Plash who discussed the removal of GI foreign bodies. We then ended with a visiting lecturer, Michigan Program Director Dr. Laura Hopson, who covered bedside teaching tips and tricks.
Read MoreThis is our inaugural edition of the Ultrasound Case of the Month. In this case we examine an early pregnancy ultrasound with an unusual finding. Read on to learn about a measurement we are often not doing in the ED and what we may be missing.
Read MoreSRU (pronounced "shrew") = Shock Resuscitation Unit
Training in, and managing, the SRU is one of the crown jewels of our residency. It is where the sickest of the sick patients are found in our ED. It is a crucible, a test of knowledge and strength, and a true manifestation of the tripartite mission of our department: Leadership, Excellence, and Opportunity.
Training in, and managing, the SRU is one of the crown jewels of our residency. It is where the sickest of the sick patients are found in our ED. It is a crucible, a test of knowledge and strength, and a true manifestation of the tripartite mission of our department: Leadership, Excellence, and Opportunity.
Check out AI contexted information from this and other great FOAMed sites via FOAMCortex
