Annals of B-Pod: Quick Hit Case
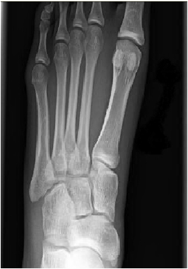
/As emergency medicine physicians, we are expected to put our best foot forward in the thorough evaluation of lower extremity injuries. In this Quick Hit, Dr. Banning walks us through the identification and management of a relatively rare but important podiatric injury.
Read More
