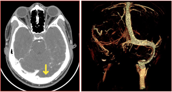
Annals of B-Pod: Dural Venous Sinus Thrombosis
/The headache is the simplest and most complex we see on a daily basis in the ED, but it is important to consider, on both ends, how the coagulation cascade can go awry and be a causative source. Dr. Gawron walks us through a patient presenting with an unprovoked and rather discourteous dural venous sinus thrombosis, its natural history, and appropriate emergent evaluation and management.
Read More
